Conoce su caso...

ESTADO INICIAL DEL PACIENTE

PROCESO DE LABORATORIO

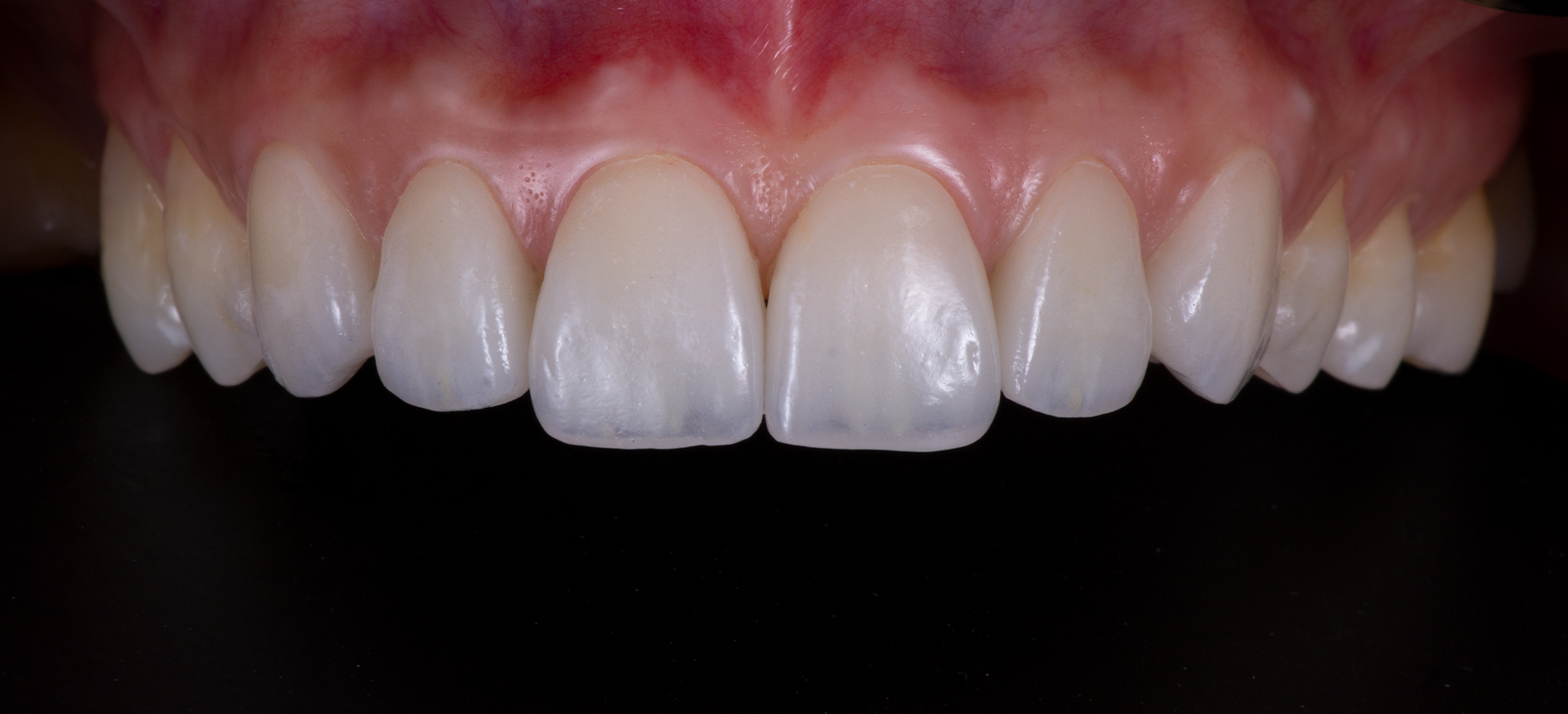
COMO RESULTADO FINAL: ALTA ESTÉTICA

LUCE TU SONRISA