INICIO
NOSOTROS
ESPECIALIDADES
CONTACTO
Conoce su caso...
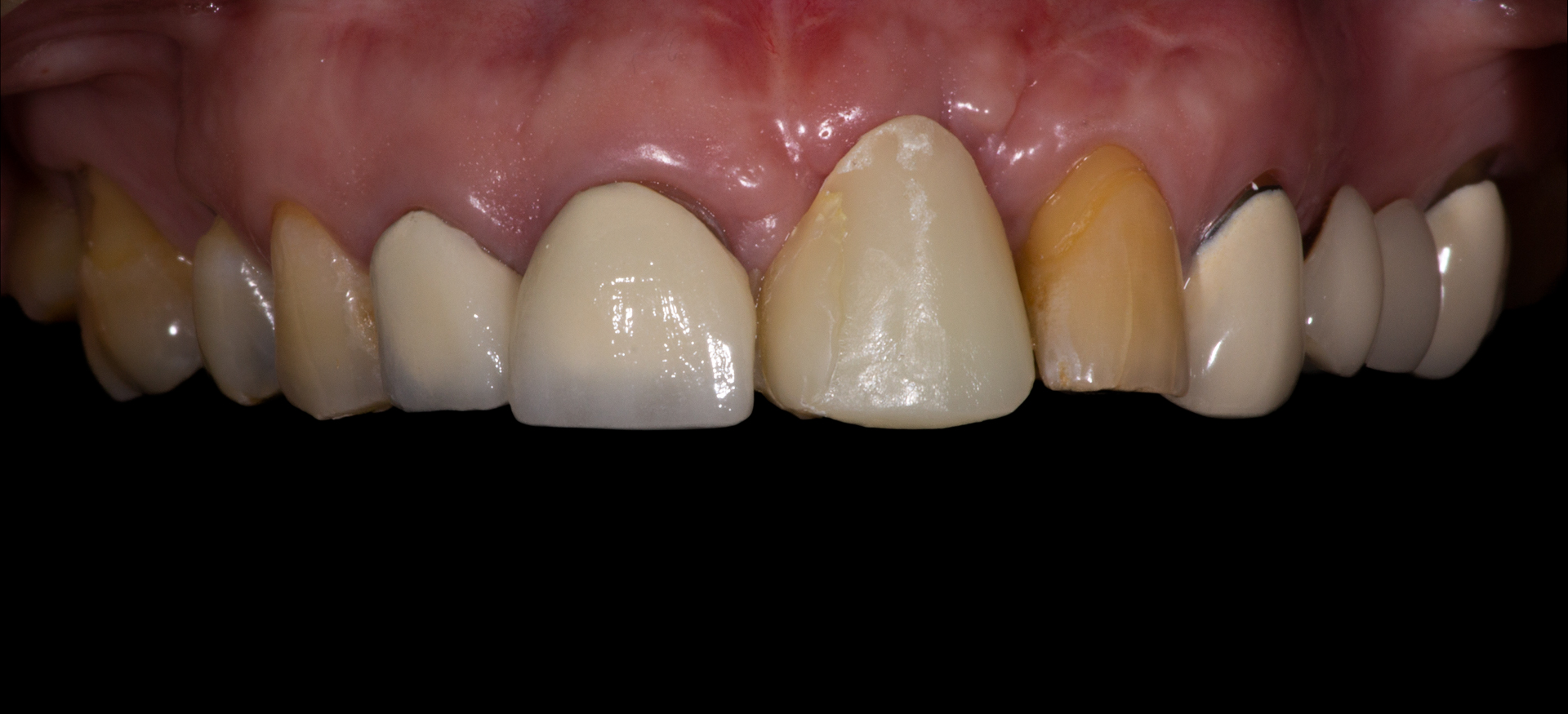
ESTADO INICIAL DEL PACIENTE
PROCESO DE LABORATORIO
PROCESO DE LABORATORIO
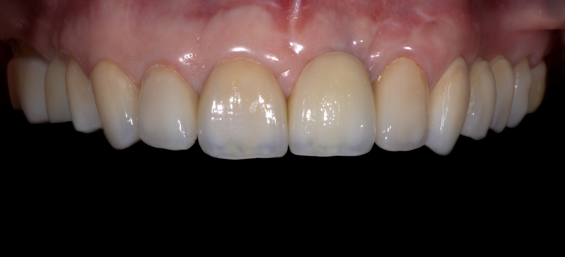
RESULTADO DE ALTA ESTÉTICA FINAL
LUCE TU SONRISA
DEVUELVE LA ALEGRÍA A TU SONRISA