Conoce su caso...

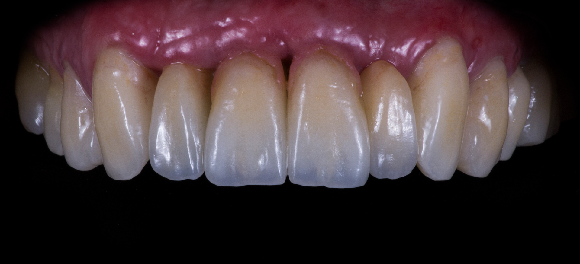
ESTADO INICIAL DEL PACIENTE

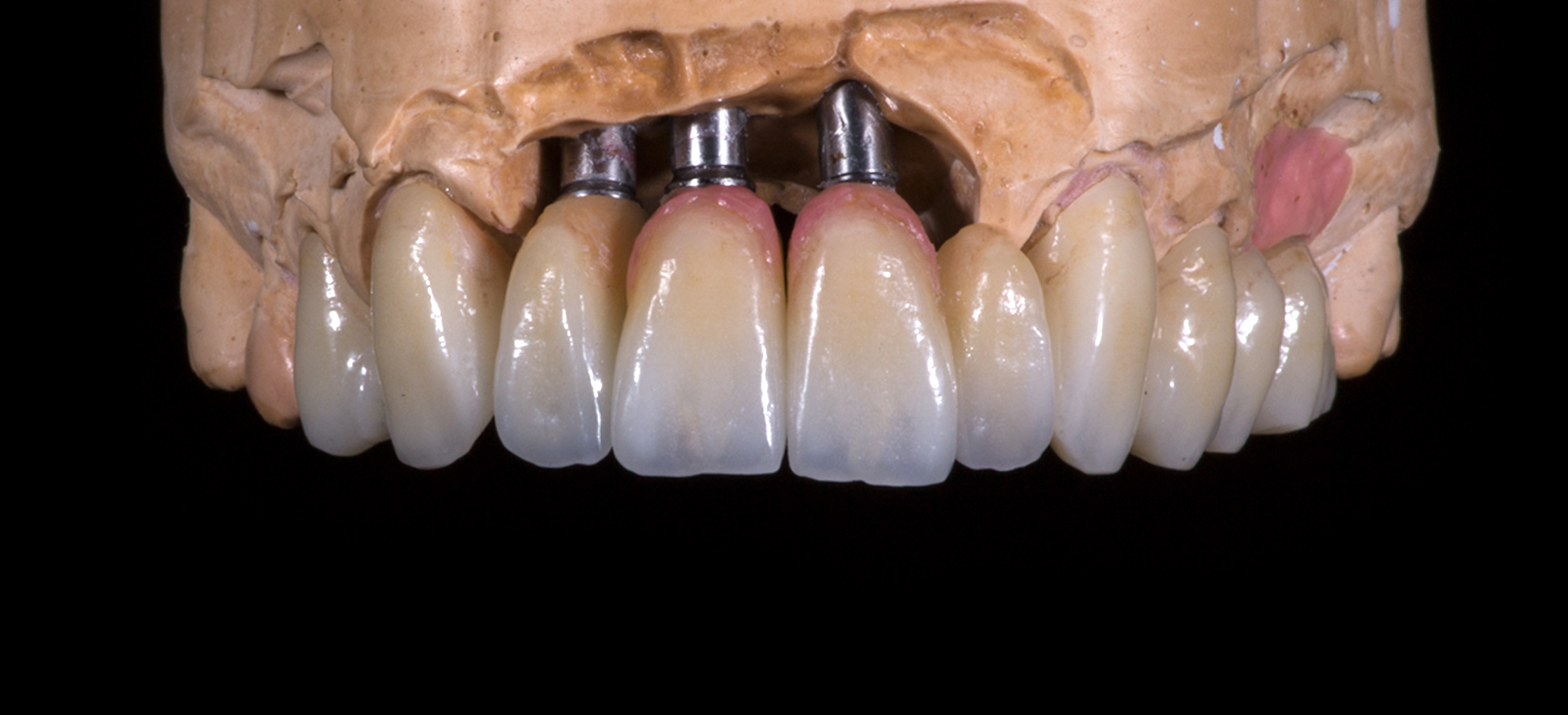
VISTA DE IMPLANTES.

PROCESO DE LABORATORIO

COMO RESULTADO FINAL: ALTA ESTÉTICA

LUCE TU SONRISA

DEVUELVE LA FELICIDAD A TU SONRISA